診療案内
  • 一般・小児歯科
  • 歯科口腔外科
  • インプラント
  • 矯正歯科
  • ホワイトニング
  • 予防歯科
一般歯科

一般歯科とは、虫歯の治療をはじめ、歯周病予防・歯槽膿漏の治療・歯の欠損部を補うことなどを主とした歯科治療です。


○虫歯の進行と治療方法

虫歯とはミュータンス菌のつくる歯垢(プラーク)によって歯が溶かされてしまう病気です。通常、程度によってC1~C4に分類されます。




■C1:歯の表面(エナメル質)の虫歯

C1

痛みはありませんが、放っておくと虫歯が悪化して
しまう状態です。
この段階の虫歯はエナメル質を削り、
CR(コンポジットレジン)というプラスチックを
詰めて治します。

レジン充填


■C2:歯の中(象牙質)の虫歯

C2

冷たいものや甘いものを食べたり、飲んだりしたときに、
しみたり、痛んだりする段階です。
治療は虫歯の部分を削り、詰め物(インレー)、または
CR(コンポジットレジン)で保護します。

インレー修復


■C3:神経まで進行した虫歯

C3

この段階までくると、激しい痛みを感じます。
この段階では神経をとる治療が必要となります。
神経の治療後、被せ物(クラウン)を
装着するのが一般的です。

クラウン修復


■C4:歯の根まで進行した虫歯

C4

歯の根まで虫歯が進行すると、
化膿して膿がたまったりします。
最悪の場合、抜歯が必要となります。
抜歯後の選択肢としては入れ歯、ブリッジ、
インプラントなどがあります。




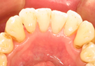
○歯周病とは

歯周病とは、歯と歯肉の近い部分についた歯垢(プラーク)の中にいる細菌によって引き起こされる病気です。
治療は超音波を利用した器具などを使ってプラーク、歯石を取ります。また、歯周外科処置を行なうこともあります。


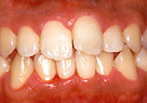
・症例1
 全体的に歯肉の腫れ、赤みがみられます。

歯周病治療前

▶▶

歯周病治療後

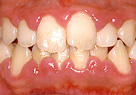
・症例2
 歯石の付着、歯肉の腫れがみられます。

歯周病治療前

▶▶

歯周病治療後


 

小児歯科

乳歯の治療、混合歯列期(乳歯と永久歯が混在している時期)の治療を行います。

お子様の診療にあたり、単に虫歯を治すだけでなく、乳歯から永久歯へスムーズに移行するために、プラークコントロール・フッ素塗布・予防填塞(シーラント)などいろいろな処置を施し、健やかな成長へと誘導いたします。

同時に歯並び・噛み合わせなどをチェックし、早期発見、早期治療を心がけております。

Page Top